Консультация стоматолога + Компьютерная томография за 1 500 ₽

*Более подробную информацию о составе и сроках действия акции уточняйте в клинике.

Что делает врач-пародонтолог?
Врач пародонтолог занимается лечением тканей, окружающий зуб и удерживающих его в кости: десны, периодонтальной связки и костной ткани.
Пародонтит, пародонтоз и гингивит – основные заболевания, с которыми приходят к этому специалисту. На приеме врач проводит пародонтальный скрининг и дает рекомендации исходя из клинической ситуации. Наиболее информативные способы диагностики заболеваний в тканях пародонта − это визуальный осмотр, рентгенодиагностика и зондирование. Осмотр дает возможность выявить отек, рецессию десен, гиперемию, наличие экссудата в пародонтальных карманах.
По данным статистики, заболевания пародонта встречаются у 40% людей до 35 лет и у 80-90% населения в возрасте после 40 лет.
Причины развития болезней тканей пародонта:
Основная причина заболеваний пародонта -скопление зубных отложений и бактериальная биопленка.
Когда стоит обратиться к пародонтологу :
Симптомы заболеваний пародонта на ранних стадиях могут быть слабо выражены.
Среди них может быть кровоточивость десен при чистке зубов, неприятный запах изо рта, неприятный привкус во рту , наличие зубных отложений. На более поздних стадиях может появляться подвижность зубов и выделения из десны.

Любое заболевание лучше предотвратить, чем лечить, поэтому к пародонтологу рекомендовано обращаться один раз в полгода для проведения осмотра и профессиональной гигиены полости рта с целью удаления бактериальной биопленки и профилактики воспалительных процессов.

При выявлении заболевания, пародонтолог назначает лечение.
Виды пародонтологического лечения в нашей клинике:
  1. Лечение гингивита
  2. Лечение пародонтита
  3. Лечение пародонтоза
Устойчивость зубов зависит от состояния десневой ткани. Заболевания возникают даже при регулярном уходе за зубами. При первых признаках патологии десен важно сразу обратиться к врачу. В современной пародонтологии лечение дёсен осуществляется медикаментозно и с применением аппаратов Vector, Fotosan. Удается быстро и эффективно избавиться от стоматологических проблем.
Цены на лечение заболеваний пародонта на Славянском бульваре:
Пародонтология
Лечение десен:
Терапия десен аппаратом Вектор в области одной челюсти от 12 700 ₽
Закрытый кюретаж от 4 000 ₽
Скейлинг от 2 500 ₽
Шинирование подвижных зубов стекловолоконной лентой от 13 800 ₽
Изготовление индивидуальной шины из фото полимера при заболеваниях пародонта от 26 500 ₽
Плазмолифтинг десен от 5 000 ₽
Фотодинамическая терапия десен (ФДТ) от 10 400 ₽
Микрохирургическая пластика десны:
Закрытие рецессий десны в области 1 зуба от 28 800 ₽
Вестибулопластика от 18 600 ₽
Пластика уздечки губы от 11 000 ₽
Лоскутная операция/открытый кюретаж в области 1 зуба от 10 000 ₽
Наши специалисты:
Болезни дёсен
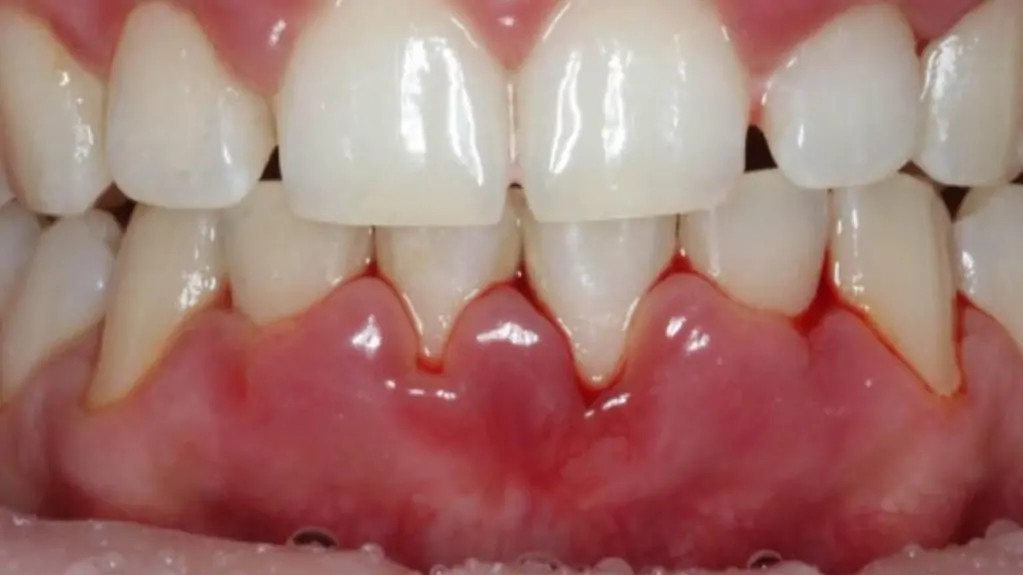
Гингивит проявляется покраснением и набуханием десны. Это связано с воспалительным процессом. Это начальная стадия нарушения слизистой. Симптомы заболевания:

  • покраснение десен;
  • галитоз (неприятный запах изо рта);
  • кровоточивость десневой ткани при уходе за зубами, надкусывании жесткой пищи;
  • отечность слизистой;
  • дискомфорт после еды;
  • повышенная чувствительность зубов на температурные и пищевые раздражители. : пищевые кислоты, острые специи, слишком высокую или слишком низкую температуру еды, напитков.
Гингивит без лечения осложняется появлением пузырьков, язвочек.

Пародонтит затрагивает глубокие слои мягких тканей, проявляется болью при чистке зубов и приеме пищи. При формировании пародонтальных карманов происходит постепенное разрушение связок, волокон зубодесневого крепления. Со временем появляется подвижность зубов.

Пародонтоз протекает без воспаления дёсен. Тканевая дистрофия развивается на фоне сосудистой патологии. Заболевание, связано с нарушением кровообращения тканей, проявляется убыванием высоты десны. Подвижность зубов возникает при оголении половины корня зуба. Ослабляется связочный аппарат.

Болезни десен развиваются постепенно, на ранних стадиях процесс обратим. Визит к пародонтологу не стоит откладывать при появлении первых признаках патологии.
Методы лечения дёсен
Существует целый комплекс профилактических мероприятий и лечебных процедур по сохранению здоровья мягких тканей, окружающих зубы. Риск развития патологии снижается после профессиональной чистки, удалении плотного налета и зубного камня. Медикаментозная обработка десневых карманов препятствует разрушению связок. Лекарственные препараты не только уничтожают бактерии, но и снимают отечность, улучшают проходимость капилляров.

В запущенных случаях при серьезных осложнениях пародонтита сохранить зубы помогает только лоскутная операция (кюретаж).

Дезинфекция полости рта с применением аппарата Fotosan закрепляет эффект терапевтического лечения дёсен. Результат светоактивной обработки пораженных участков виден сразу. Мгновенно уничтожаются патогенные микроорганизмы, купируется воспалительный процесс. За несколько сеансов фотооблучения удается приостановить разрушение дёсен.

Ультразвуковой аппарат Vector улучшает кровообращение тканей, разрушает глубокие минеральные отложения в пародонтальных карманах. После ультразвуковой обработки начинается регенерация мягких тканей. Снижается расшатываемость зубов. Целостность челюстных рядов удается сохранить. Процедура особенно эффективна на ранних стадиях десневых заболеваний. Уже после первого визита заметны улучшения.
Преимущества лечения дёсен в клинике Импладент на Славянском
В кабинетах установлено современное лечебное и диагностическое оборудование, имеются аппараты:

  • Vector для ультразвуковой обработки десен;
  • Fotosan для светодинамической терапии.
Врачи используют передовые методы лечения дёсен, подбирают комплекс процедур. Применяют лечебные препараты нового поколения, дающие положительные результаты у пациентов всех возрастных групп.

Физиотерапевтические процедуры проводятся с минимальным дискомфортом для пациента, при необходимости применяется аппликационная анестезия.
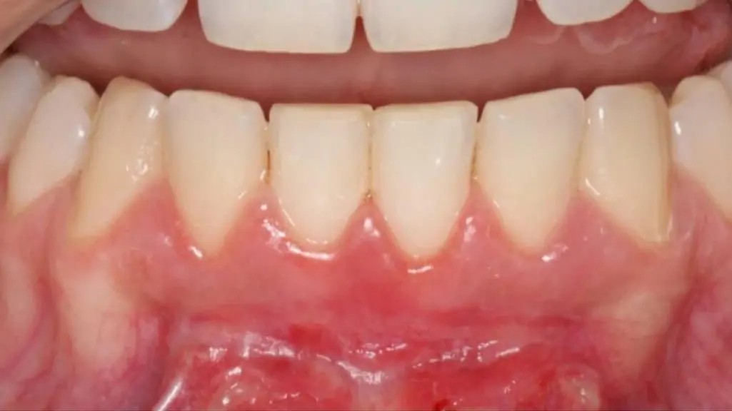
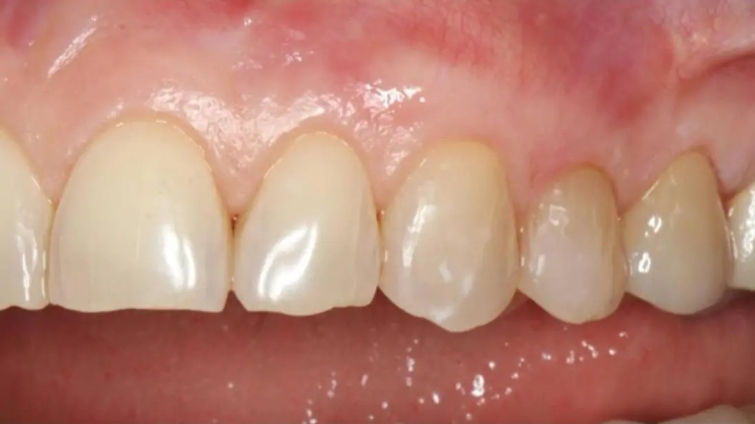
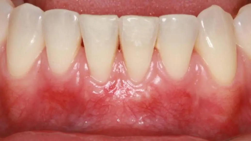
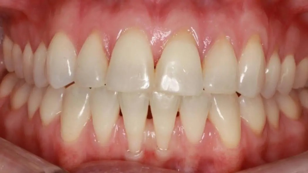
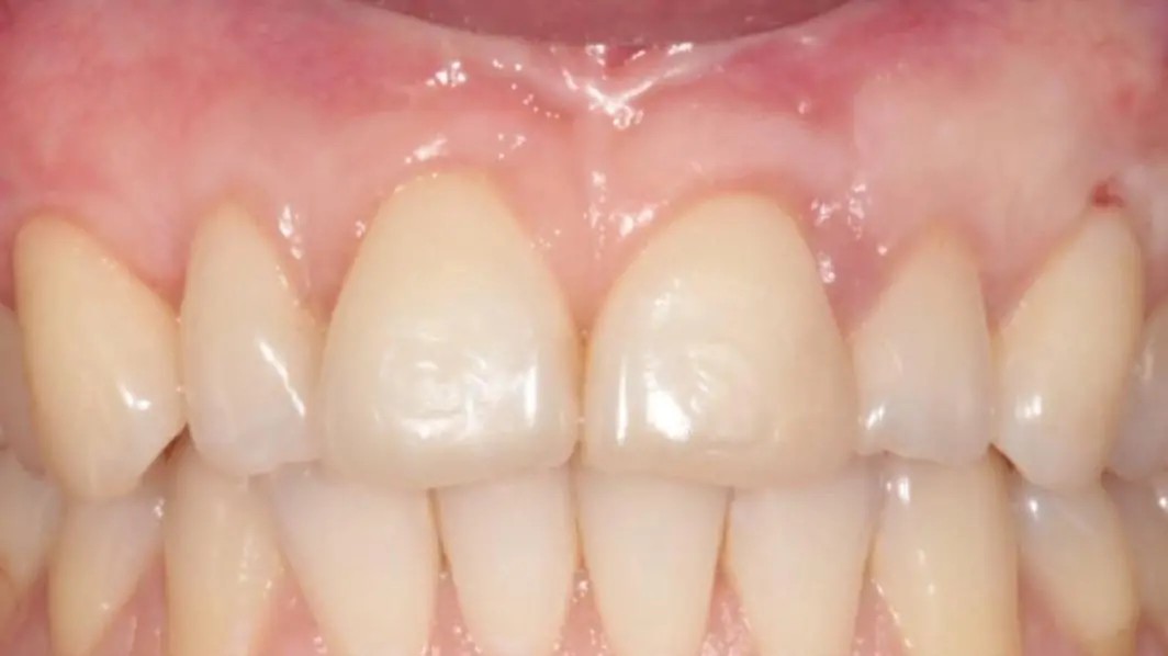
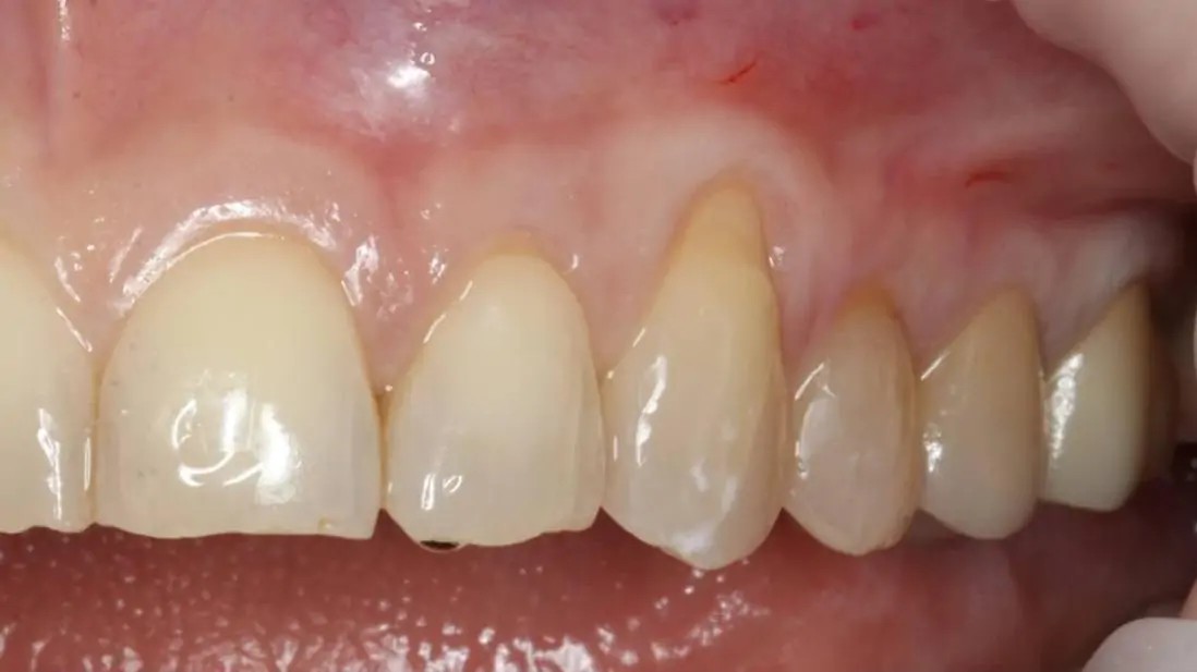
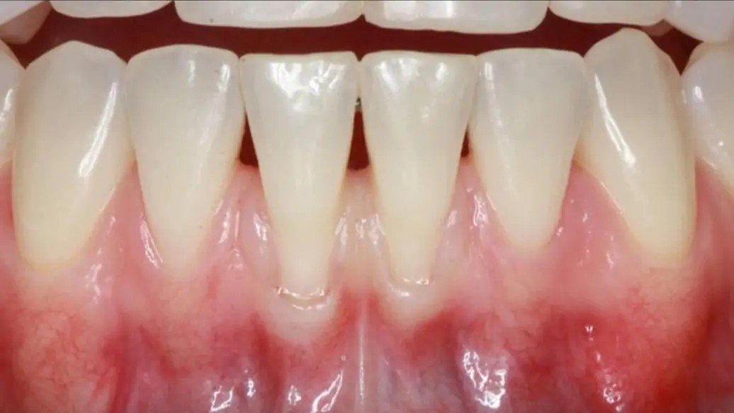
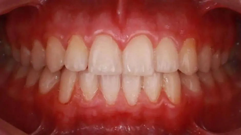
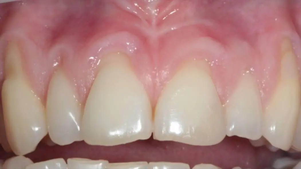
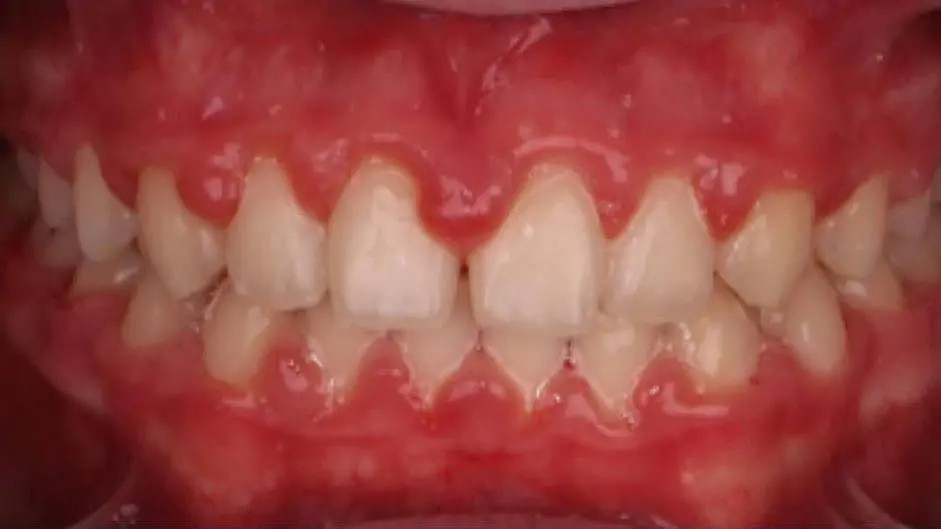
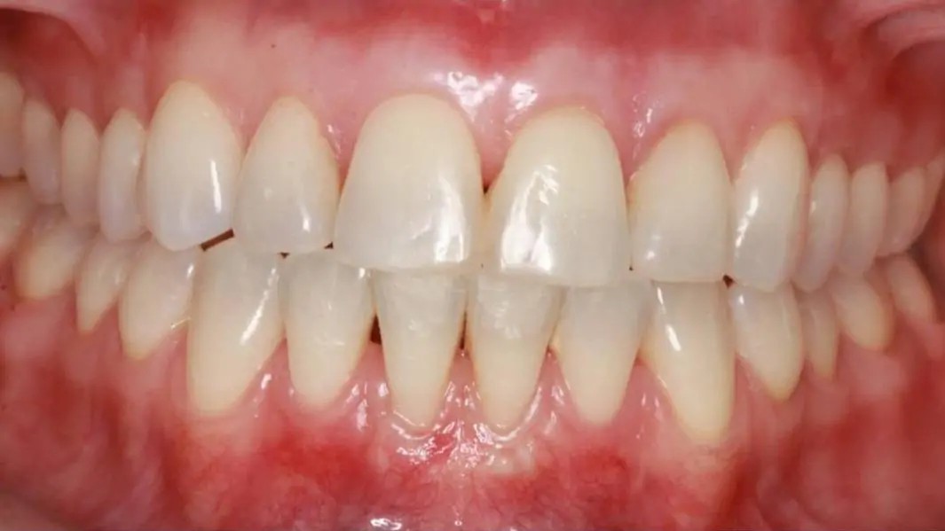
Примеры наших работ
Ждём Вас в клинике «ПрезиДЕНТ» на Славянском бульваре.
Чтобы получить консультацию пародонтолога звоните нам по телефону:
+7 (495) 012-51-15